Enhancing Aesthetic Beauty: Dr. Basel Mofti’s Approach to Orthodontic Treatment
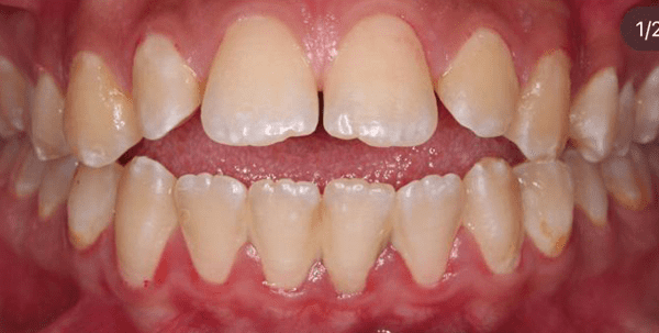
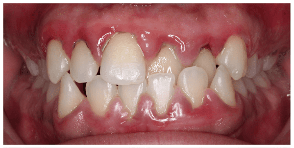
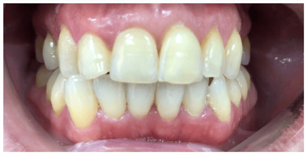
Enhancing Aesthetic Beauty: Dr. Basel Mofti's Approach to Orthodontic TreatmentIn pursuing aesthetic beauty, orthodontic treatment plays a crucial role in reshaping smiles and enhancing facial harmony. Dr. Basel Mofti, a distinguished celebrity orthodontic specialist, brings a unique perspective to beauty...


